Застосування гелів і лаків для фторування зубів в стоматології

Фторування застосовується для оздоровлення зубної емалі для пацієнтів всіх вікових категорій. Dental Group представляє в своєму асортименті фторлак і гелі для фторування від кращих виробників українського ринку. Пропонуємо ознайомитися з каталогом докладніше, а також розглянути особливості даної процедури.
Що таке фторування?
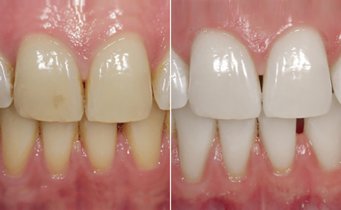
Фторування - це насичення зубів фтором. Він зміцнює тверді тканини, робить емаль міцніше і усуває ефект прозорості зуба, який часто зустрічається, навіть за умови, що сам зуб здоровий. Прозорість емалі створює не естетичний ефект жовтизни. Фторлак справляється з цими негативними проявами, створює щільне біле покриття і освітлює на кілька тонів.
Процедура проводиться дуже просто і абсолютно безболісно: еластичну капу заповнюють фторосодержащее засобом і надягають на зубний ряд приблизно на 10 хвилин. Маніпуляцію необхідно повторити 8-10 разів, між якими перерва в кілька днів.
Якщо говорити щодо "за і проти" фторування, стоматологи не виділяють якихось негативних сторін процедури. Робити її можна не всім тільки через непідготовленість зубів. Наприклад, перед нанесенням фторлака, необхідно пролікувати всі уражені карієсом ділянки, видалити зубний камінь і прикореневі відкладення.
Ефект фторування:
- зниження чутливості емалі. Особливо корисно буде тим, у кого є больові відчуття при першому ковтку гарячих напоїв або чогось холодного;
- профілактика захворювань зубів, зокрема карієсу;
- освітлення кольору емалі;
фторування після відбілювання. Процедура відбілювання передбачає зняття певного шару емалі, з цієї причини зуби на час стають більш чутливими. Покриття фторлаком компенсує це і період адаптації зубів проходить набагато легше.
Процедура також дуже корисна дітям. Фторування молочних зубів допомагає зберегти їх естетичний вигляд і запобігає виникненню карієсу і точкових поразок. Чи не постійні зуби потребують таким же серйозному догляді, як і корінні. По-перше, вони теж можуть доставляти больові відчуття, а по-друге, в період дорослішання важливо, щоб дитина не комплексував через посмішки. Фторлак - абсолютно безпечні і не викликають алергічних реакцій.
Фторлак в Dental Group:
Dental Group представляє продукцію для фторування від кращих виробників, продукція яких вже стала виборів десятків практикуючих стоматологів по всій країні. Ми збираємо зворотний зв'язок по кожному продукту від клінік, які стали нашими постійними клієнтами. Таким чином формуємо каталог з кращих ефективних пропозицій, які перевірені на практиці.
При виникненні питань щодо оформлення замовлення, скористайтеся запропонованою на сайті онлайн-формою допомоги. Менеджер зі стоматологічним освітою надасть свою консультацію.
- Візіограф стоматологічний: як обрати та на що звернути увагуВізіограф — сучасний інструмент для діагностики та документації стану зубів та ясен. Вибір правильної моделі впливає на якість обслуговування пацієнтів та ефективність вашої практики. Розбиратися в технічних параметрах та особливостях різних моделей критично важливо.Візіограф стоматологічний: як обрати та на що звернути увагу
- Як швидко навчити команду працювати з новим обладнаннямПокрокова інструкція, як швидко навчити команду працювати з новим стоматологічним обладнанням без стресуЯк швидко навчити команду працювати з новим обладнанням



